台北松山全瓷美學療程—全瓷假牙、全瓷牙冠、全瓷貼片

台北松山長島牙醫診所提供您台北全瓷美學療程,我們有專業的台北全瓷牙冠團隊,幫助您打造超擬真全瓷假牙,幫助您快速重拾自信又迷人的笑容。
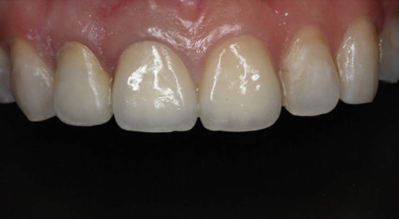
台北長島牙醫診所的專業牙醫師懂得如何挑選適當、優良的全瓷牙冠系統來配合原本牙齒,並以專業分層燒瓷、染色技術及優秀配色美感,讓您的全瓷牙冠(假牙)看起來就猶如真牙般自然,達到比以往更美觀的美齒,是您台北全瓷牙冠的優質選擇!
讓長島松山全瓷牙冠團隊專業為您打造全瓷美齒,還您一口宛如天生的漂亮貝齒,找回美麗的自信笑容!
什麼是全瓷牙冠(假牙)?
全瓷冠又稱全瓷牙冠、全瓷假牙,採用一體成形二氧化鋯或者氧化鋯的材質製作,不僅材質堅硬、耐用,且假牙內無金屬顏色的情況下,透澤度近似真牙、不會產生金屬外露導致牙齦變黑的問題,不僅外觀非常美麗自然,且不會產生金屬異味、腐蝕的問題,是一種既美觀又舒適的安全假牙,為目前最熱門的牙冠材質之一。
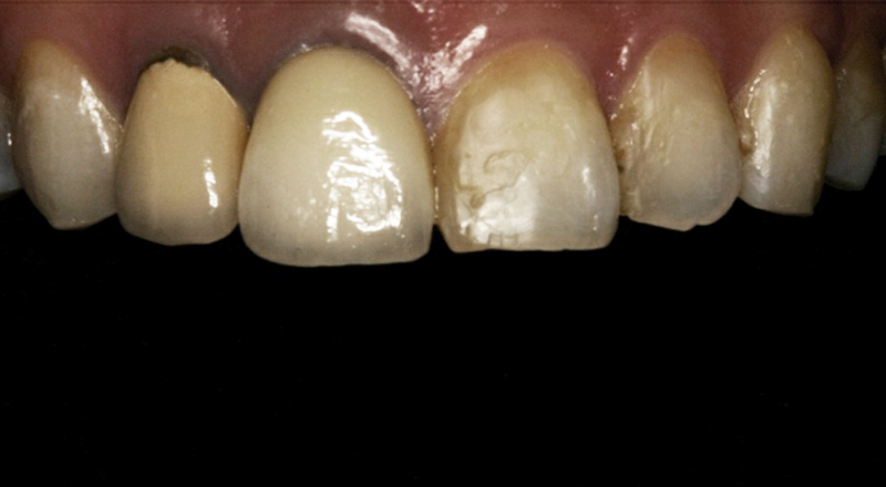
若您的牙齒受損嚴重,如根管治療過、牙齒明顯斷裂等,可選擇全瓷牙冠(假牙)將牙齒完整包覆,恢復牙齒美觀。
全瓷牙冠(假牙)的優點
- 顏色自然、透光性高、耐磨性高。
- 全瓷牙冠與真牙密合度相當良好。
- 與人體相容性高,不會出現過敏問題。
什麼是全瓷貼片?
全瓷貼片為美觀自然的贋復材質,須先磨去薄薄的一層牙齒,再將陶瓷精細研磨成的超薄貼片,透過高強度專用黏著劑,黏合在牙齒表面上,來調整牙齒顏色、外觀形狀,達到牙齒美白和微矯正的雙重效果。
若您的的牙齒有輕微受損的情況,如蛀牙、牙齒裂掉一小角等,可透過全瓷貼片來修復,全方位改善您的笑容。
全瓷假牙貼片的優點
- 顏色自然、透光性高、耐磨性高。
- 只需修磨牙齒外表薄薄的一層琺瑯質,不需大量破壞牙齒結構。
- 療程輕鬆、快速,不需進行根管治療。
- 因為不含金屬,所以不會產生牙齦邊緣有黑黑的情形,或是牙齦、牙根有不美觀的染色問題。






