
德國萊卡(Leica)牙科顯微鏡
顯微鏡用於處理複雜根管、鈣化根管、斷裂器殘留等困難的根管治療。
牙科顯微鏡的好處:
- 實體觀察:可看到複雜的根管,且景深足夠。
- 利用照片或螢幕向患者說明診斷過程,可增加患者接受度。
- 使用牙科顯微鏡的成功率高,比傳統方法成功率高出許多。
- 患者不再受苦、牙齒仍然完整
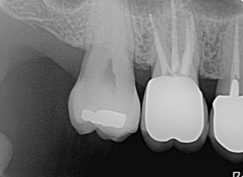
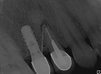
多根根管治療
治療前

治療後

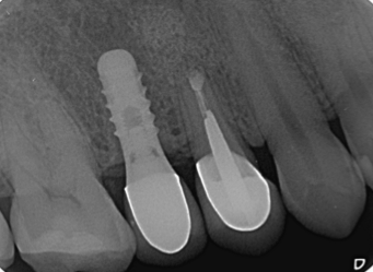
根尖切除術
治療前

治療後


顯微鏡用於處理複雜根管、鈣化根管、斷裂器殘留等困難的根管治療。
治療前

治療後

治療前

治療後

春節連假休診公告
2/14(六). 2/21(六)營業時間 09:00-12:00 /13:30-18:00
2/15(日)至2/20(五) 全日休診
祝大家 馬年吉祥,幸福安康,好運龍總來~