關閉

病患:30歲 女性

主訴:不滿意其他診所做完假牙後,微笑時牙齒歪斜,牙齦高低不對稱,假牙過白。

診斷:
  1. 前牙牙齦高度不對稱。
  2. 左上正中門牙缺牙。
  3. 前牙假牙過白,與下顎牙齒顏色不對。
治療計劃:
  1. 左上正中門牙缺牙區-人工植牙。
  2. 前牙牙齦高度不對稱進行-牙冠增長術。
  3. 左側側門牙牙齦萎縮、牙冠過長進行-牙齦增生手術。

主治醫師:戴志翰醫師

proimages/case/cosmetic/pic_case-077.jpg

治療前,全口X光片。

proimages/case/cosmetic/pic_case-078.jpg

病患微笑時,假牙歪斜,牙齦不對稱。

proimages/case/cosmetic/pic_case-079.jpg

病患就診前口內照片。
右側假牙過短、左側正中門牙缺牙、左側側門牙牙齦萎縮,且牙冠過長。

proimages/case/cosmetic/pic_case-080.jpg

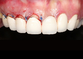
右側前牙進行牙冠增長術,調整牙齒比例。

proimages/case/cosmetic/pic_case-081.jpg

左側側門牙進行牙齦增生手術,解決牙齦萎縮問題。

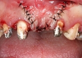
proimages/case/cosmetic/pic_case-082.jpg

左側正中門牙缺牙,缺牙處植入人工牙根。

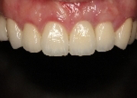
proimages/case/cosmetic/pic_case-083.jpg

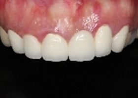
病患治療後,最終假牙完成照。

proimages/case/cosmetic/pic_case-084.jpg
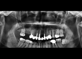
proimages/case/cosmetic/pic_case-085.jpg

治療後,全口X光片。

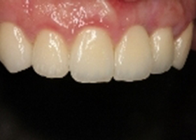
proimages/case/cosmetic/pic_case-086.jpg

病患恢復自信的笑容。

關閉