關閉

病患:30歲女性

主訴:上顎門牙假牙不美觀、牙齦腫脹不舒服且刷牙會流血。

診斷:

門牙假牙套密合度不佳,造成續發性蛀牙,且牙套外形及材質不良,刺激牙齦紅腫發炎。

治療計劃:

先拆除舊門牙牙套,去除軟化齒質後,右上門牙裝上強化陶瓷釘柱,再依據口內鄰牙顏色,更換兩顆門牙全瓷假牙。

主治醫師:吳建德 醫師


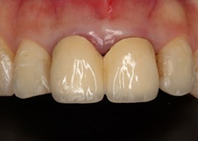
術前

門牙假牙相連,牙縫清潔不易,易造成蛀牙。
proimages/case/cosmetic/pic_case-067.jpg
proimages/case/cosmetic/pic_case-068.jpg
proimages/case/cosmetic/pic_case-069.jpg

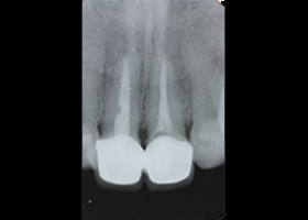
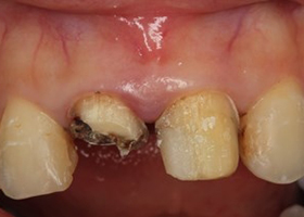
術中

相連假牙拆除,發現二次蛀牙。
proimages/case/cosmetic/pic_case-071.jpg
將蛀牙清除後,尚可保留牙根重新製作牙冠;重新製作強化釘柱,增加齒內強度。
proimages/case/cosmetic/pic_case-072.jpg

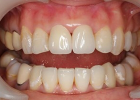
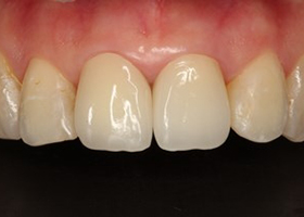
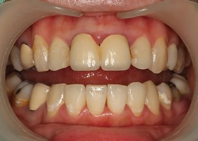
術後

製作全瓷假牙。
proimages/case/cosmetic/pic_case-074.jpg
proimages/case/cosmetic/pic_case-076.jpg
proimages/case/cosmetic/pic_case-075.jpg
關閉