關閉

病患:50歲 男性
主訴:右上門牙斷裂

診斷:

右上門牙斷裂,且門牙不整齊大小不對稱。

治療計劃:

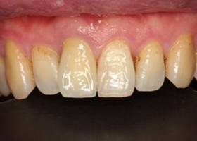
調整鄰近牙齒,並製作超硬陶瓷柱心及超硬陶瓷全瓷牙冠,使其外型自然和諧美觀。

醫師:張登信 醫師


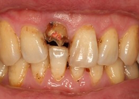
右上門牙不規則斷裂
proimages/case/cosmetic/pic_case-063.jpg
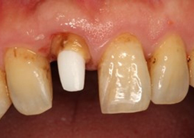
proimages/case/cosmetic/pic_case-064.jpg
製作柱心及超硬陶瓷全瓷牙冠
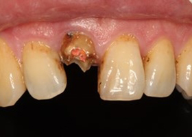
proimages/case/cosmetic/pic_case-065.jpg
proimages/case/cosmetic/pic_case-066.jpg
關閉