關閉

病患:30歲 女性

主訴:大範圍銀粉填補,牙齒變色感覺不美觀。

診斷:

病人原右上及左下第一大臼齒,至其他診所根管治療後,僅使用大量銀粉填補,長期以來導致齒質顏色改變、美觀度欠佳。

治療計劃:

移除銀粉,放置強化柱心及精密全瓷冠假牙。

主治醫師:蔣文政 醫師


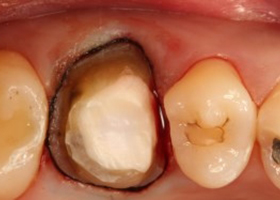
術前-先前根管治療之後僅以銀粉填補。
( 左圖:右上第一大臼齒,右圖:左下第一大臼齒)
proimages/case/cosmetic/pic_case-043.jpg
proimages/case/cosmetic/pic_case-044.jpg
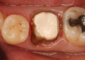
術中-移除銀粉後,放置強化柱心。
( 左圖:右上第一大臼齒,右圖:左下第一大臼齒)
proimages/case/cosmetic/pic_case-045.jpg
proimages/case/cosmetic/pic_case-046.jpg
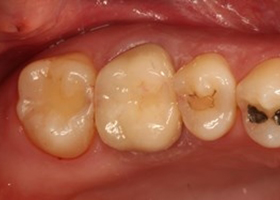
術後-完成全瓷假牙。
( 左圖:右上第一大臼齒,右圖:左下第一大臼齒)
proimages/case/cosmetic/pic_case-047.jpg
proimages/case/cosmetic/pic_case-048.jpg
關閉