(02)8787-1787
線上預約
關於長島
about
最新消息
news
醫療項目
item
人工植牙
失敗植牙處理|重建手術
全口重建
舒眠植牙
全瓷假牙|美齒貼片
陶瓷齒雕瓷塊
牙周病雷射治療
牙齒美白與牙齦美容
齒顎矯正
顯微鏡根管治療
醫療團隊
team
吳建德院長
戴志翰醫師
張登信醫師
陳式萱醫師
陳鐘漢醫師
廖于珊醫師
陳怡方醫師
先進設備
equipment
3D電腦斷層掃描
水雷射
二極體雷射
超音波骨刀
數位全口X光攝影
德國萊卡根管顯微鏡
德國數位根尖X光影像
美國原裝A-DEC治療椅
德國微電腦自動消毒鍋
專業牙齒燒瓷染色機
瑞士美白洗牙噴砂機
實際案例
case
人工植牙
舒眠植牙
挽救失敗植牙
銀髮族植牙
角質化牙齦增生手術
嚴重骨脊萎縮增寬手術
上頷竇微創增高手術
傳統補骨植牙
前牙美學植牙
全口植牙重建
立即微創植牙
雷射微創植牙
3D電腦斷層微創植牙
矯正美學
矯正美學案例
迷你骨釘矯正
隱適美數位矯正系統
舌側隱藏式矯正系統
戴蒙矯正系統
美容牙科
全瓷假牙
全瓷貼片
齒雕瓷塊
牙齒美白
診所資訊
information
門診時間
交通指南
社會服務
service
社會關懷理念
口腔健康講座
公益活動
社區回饋
醫師文章
關於長島about
最新消息news
醫療項目
item
+
–
人工植牙
失敗植牙處理|重建手術
全口重建
舒眠植牙
全瓷假牙|美齒貼片
陶瓷齒雕瓷塊
牙周病雷射治療
牙齒美白與牙齦美容
齒顎矯正
顯微鏡根管治療
醫療團隊
team
+
–
吳建德院長
戴志翰醫師
張登信醫師
陳式萱醫師
陳鐘漢醫師
廖于珊醫師
陳怡方醫師
先進設備
equipment
+
–
3D電腦斷層掃描
水雷射
二極體雷射
超音波骨刀
數位全口X光攝影
德國萊卡根管顯微鏡
德國數位根尖X光影像
美國原裝A-DEC治療椅
德國微電腦自動消毒鍋
專業牙齒燒瓷染色機
瑞士美白洗牙噴砂機
實際案例
case
+
–
人工植牙
+
–
舒眠植牙
挽救失敗植牙
銀髮族植牙
角質化牙齦增生手術
嚴重骨脊萎縮增寬手術
上頷竇微創增高手術
傳統補骨植牙
前牙美學植牙
全口植牙重建
立即微創植牙
雷射微創植牙
3D電腦斷層微創植牙
矯正美學
+
–
矯正美學案例
迷你骨釘矯正
隱適美數位矯正系統
舌側隱藏式矯正系統
戴蒙矯正系統
美容牙科
+
–
全瓷假牙
全瓷貼片
齒雕瓷塊
牙齒美白
診所資訊
information
+
–
門診時間
交通指南
社會服務
service
+
–
社會關懷理念
口腔健康講座
公益活動
社區回饋
醫師文章
關閉
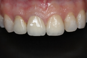
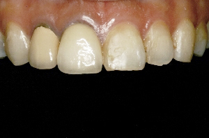
正中門牙與側門牙全瓷冠案例
首頁
/
實際案例
/
美容牙科
/
全瓷假牙
/
正中門牙與側門牙全瓷冠案例
病患:林小姐
主訴:右邊側門牙,正中門牙假牙牙齦泛黑,左邊正中門牙蛀牙
診斷:
舊式假牙邊緣不密合
治療計畫:
前牙全瓷冠製作
主治醫師:戴志翰醫師
治療前
治療後
分享到
關閉
×