關閉
全瓷冠是一種不含金屬內冠的假牙,非常美觀自然

全瓷冠其實還可以細分為非常多種系統, Empress. E-Max. Cercon. Lava. Procera. Prettau..等。
由於全瓷冠採用一體成型二氧化鋯材質製作,材料堅硬.耐用.假牙內無金屬顏色的情況下,透光度近似真牙,更沒有金屬顏色外露的問題。
一個專業的牙醫師需要懂得如何挑選最適當的全瓷冠系統來配合病人牙齒的狀態,並且經過專業技師分層仔細的燒瓷與染色,才能達到最理想的假牙。


proimages/case/cosmetic/201301222047231.jpg

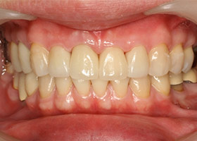
舊式假牙

proimages/case/cosmetic/201301222047232.jpg

全瓷假牙

關閉