病患 : 40歲 女性
主訴 : 牙齒斷掉
診斷 :
- 右上側門牙牙根斷裂及搖晃。
- 左上正中門牙牙根斷裂。
治療計劃:
- 將前牙舊牙冠拆除。
- 拔除右上側門牙及左上正中門牙斷裂之牙根。
- 當天拔牙後,立即植入人工牙根。

治療前,X光片及口內照片。


右上側門牙及左上正中門牙斷裂。
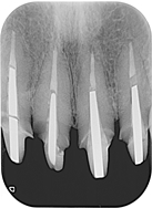
舊牙冠拆除後,舊牙冠拆除後,術後X光片。

立體斷層掃描。

手術後,植體完美的植入預設的位置

當天拔牙,且立即植牙。

手術後,植體完美的植入預設的位置。

治療後,X光片。

假牙完成後,植牙與自然牙,真假難辨;病患恢復自信的笑容。


