挽救失敗植體
病患:中年婦女
主訴 : 在別家診所植牙,植牙失敗造成植牙外露和感染。
診斷:
植體牙周炎。
治療計劃:
- 移除感染植牙。
- 骨頭再生術+角化牙齦手術。
- 植入新植牙手術。
主治醫師:戴志翰醫師
![proimages/case/Artificial_implant/save-defeat01.jpg proimages/case/Artificial_implant/save-defeat01.jpg]()
1. 治療前,口內照片;植體外露及牙齦萎縮。
![proimages/case/Artificial_implant/save-defeat01-1.jpg proimages/case/Artificial_implant/save-defeat01-1.jpg]()
2. 治療前X光片,骨頭嚴重吸收。
![proimages/case/Artificial_implant/save-defeat02-1.jpg proimages/case/Artificial_implant/save-defeat02-1.jpg]()
3. 翻開牙齦,可看見植體周圍骨頭嚴重吸收。
![proimages/case/Artificial_implant/save-defeat02-2.jpg proimages/case/Artificial_implant/save-defeat02-2.jpg]()
4. 移除感染之植體,解決吸收植體牙周發炎。
![proimages/case/Artificial_implant/save-defeat03-1.jpg proimages/case/Artificial_implant/save-defeat03-1.jpg]()
5. 重新進行骨頭再生手術。
![proimages/case/Artificial_implant/save-defeat03-2.jpg proimages/case/Artificial_implant/save-defeat03-2.jpg]()
6. 角質化牙齦,再生手術。
![proimages/case/Artificial_implant/save-defeat04-1.jpg proimages/case/Artificial_implant/save-defeat04-1.jpg]()
7. 骨頭重新再生。
![proimages/save-defeat04-2.jpg proimages/save-defeat04-2.jpg]()
8. 植入新的植體。
![proimages/case/Artificial_implant/save-defeat05-1.jpg proimages/case/Artificial_implant/save-defeat05-1.jpg]()
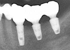
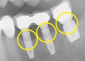
9. 治療後,X光片。
![proimages/save-defeat05-2.jpg proimages/save-defeat05-2.jpg]()
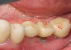
10. 假牙完成,病患恢復健康的角質化牙齦。