關閉
人工植牙與全口治療

病患:55歲 男性

主訴:多顆缺牙,想全口治療。

診斷:

多顆缺牙、牙周病、多顆蛀牙。

治療計畫:

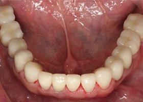
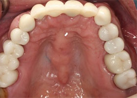
經由多顆人工植牙及全瓷假牙的全口重建,牙周病治療讓病人恢復咬合的功能與美觀,也易於每日的清潔保養。

主治醫師:張登信 醫師


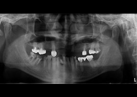
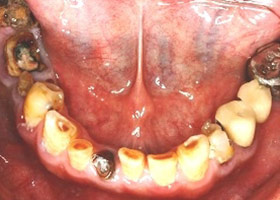
治療前
多顆缺牙及牙周病、蛀牙

proimages/case/Artificial_implant/before01.jpg
proimages/case/Artificial_implant/before02.jpg
proimages/case/Artificial_implant/before03.jpg

治療後

proimages/case/Artificial_implant/after01.jpg
proimages/case/Artificial_implant/after03.jpg
proimages/case/Artificial_implant/after04.jpg
proimages/case/Artificial_implant/after02.jpg
關閉