補骨植牙及角質化牙齦手術
病患:64歲男性
主訴 :右下牙橋鬆動,牙齦萎縮發炎。
診斷:
- 右下小臼齒牙根周圍破壞,骨頭嚴重流失。
- 右下後牙區,缺乏健康角質化牙齦。
- 舊牙橋鬆動,牙根蛀牙。
治療計劃:
- 移除右下搖晃之牙橋;牙周狀況嚴重之小臼齒拔除。
- 進行角質化牙齦移植手術及補骨手術。
- 缺牙處植入人工牙根,重新建立完整咬合功能。
主治醫師:戴志翰醫師
![proimages/case/Artificial_implant/HON01.jpg proimages/case/Artificial_implant/HON01.jpg]()
1. 病患最初全口X光片。
![proimages/case/Artificial_implant/HON02-1.jpg proimages/case/Artificial_implant/HON02-1.jpg]()
2.病患右下排,治療前狀況。
![proimages/case/Artificial_implant/HON02-2.jpg proimages/case/Artificial_implant/HON02-2.jpg]()
3.照片顯示此區域牙周破壞嚴重。
![proimages/case/Artificial_implant/HON03-1.jpg proimages/case/Artificial_implant/HON03-1.jpg]()
4.移除牙橋與殘根,牙脊明顯萎縮。
![proimages/case/Artificial_implant/HON03-2.jpg proimages/case/Artificial_implant/HON03-2.jpg]()
5.牙脊萎縮處進行補骨手術。
![proimages/case/Artificial_implant/HON04-1.jpg proimages/case/Artificial_implant/HON04-1.jpg]()
6.完成補骨手術。
![proimages/case/Artificial_implant/HON04-2.jpg proimages/case/Artificial_implant/HON04-2.jpg]()
7.進行角質化牙齦移植手術。
![proimages/case/Artificial_implant/HON05-1.jpg proimages/case/Artificial_implant/HON05-1.jpg]()
8.牙齦手術完成。
![proimages/case/Artificial_implant/HON05-2.jpg proimages/case/Artificial_implant/HON05-2.jpg]()
9.完成補骨手術後的健康齒槽骨。
![proimages/case/Artificial_implant/HON06-1.jpg proimages/case/Artificial_implant/HON06-1.jpg]()
10.植入人工牙根於健康的齒槽骨。
![proimages/case/Artificial_implant/HON06-2.jpg proimages/case/Artificial_implant/HON06-2.jpg]()
11.配合手術導引板,精準植入理想位置。
![proimages/case/Artificial_implant/HON07-1.jpg proimages/case/Artificial_implant/HON07-1.jpg]()
12.完成一階段式手術。
![proimages/case/Artificial_implant/HON08-1.jpg proimages/case/Artificial_implant/HON08-1.jpg]()
13.病患恢復健康牙周與牙齒。
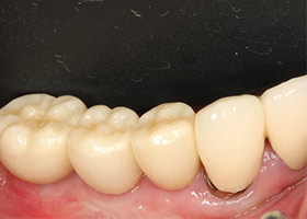
![proimages/case/Artificial_implant/HON08-2.jpg proimages/case/Artificial_implant/HON08-2.jpg]()
14.病患恢復正常咬合功能。
![proimages/case/Artificial_implant/HON09.jpg proimages/case/Artificial_implant/HON09.jpg]()
15.治療完成之全口X光片。