關閉

對於上排牙齒植牙處拍攝3D電腦斷層攝影,發現缺牙區的骨頭因為缺牙時間過長導致上頷竇空腔往下降,導致植牙位置的骨頭高度不足,這時就需要植牙專科醫師透過顯微微創鼻竇增高技術(水壓式鼻竇增高術. 超音波骨刀鼻竇增高術),在缺牙區鼻竇內,放置骨粉增加植牙區域高度來達到完整地放置植體,讓植體與新填充骨粉可以完整的結合


proimages/case/Artificial_implant/top01.jpg
proimages/case/Artificial_implant/top02.jpg
proimages/case/Artificial_implant/top03.jpg

實際案例

proimages/case/Artificial_implant/topcase01.jpg

上排缺牙區 

proimages/case/Artificial_implant/topcase02.jpg

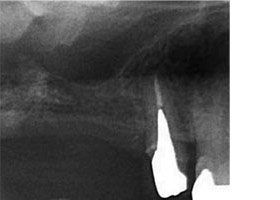
X光顯示垂直骨頭高度不足

proimages/case/Artificial_implant/topcase03.jpg

植牙合併無敲擊水壓式上頷竇增高術 

proimages/case/Artificial_implant/topcase04.jpg

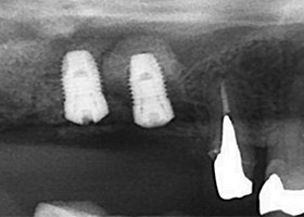
X光片顯示骨頭成功增高

proimages/case/Artificial_implant/topcase05.jpg

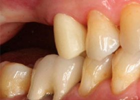
最後裝置假牙

proimages/case/Artificial_implant/topcase06.jpg

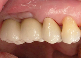
完成照片

proimages/case/Artificial_implant/topcase07.jpg

完成時X光片可看見新生骨頭

關閉