關閉
牙周病患者全口植牙重建

病患:五十歲男性。

主訴 :一般診所建議做活動假牙,尋找植牙診所。

診斷:

病患全口嚴重牙周病,進行植牙及全口重建。

治療計劃:
  1. 全口牙周病治療。
  2. 全口植牙重建。
  3. 補骨與鼻竇增高手術。

主治醫師:戴志翰醫師


1. 治療前X光片,多處缺牙及嚴重牙周破壞。

proimages/case/Artificial_implant/all-1.jpg

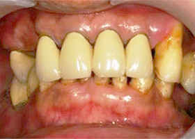
2. 治療前,口內照片。

proimages/case/Artificial_implant/all-2.jpg

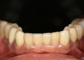
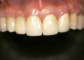
3. 經過一年多牙周病治療與人工植牙重建病患恢復了完整的牙齒。

proimages/case/Artificial_implant/all-3.jpg
proimages/case/Artificial_implant/all-4.jpg

4. 病患最終X光片。 

proimages/case/Artificial_implant/all-5.jpg

5. 治療前VS.治療後。

proimages/case/Artificial_implant/all-6.jpg
proimages/case/Artificial_implant/all-7.jpg

6. 病患恢復自信笑容。 

proimages/case/Artificial_implant/all-8.jpg
關閉