立即植牙
病患:51歲 女性
主訴: 門牙假牙鬆動,且些微暴牙。
診斷:
左上門牙舊牙套釘柱鬆脫,造成續發性齲齒及牙根鬆動。
治療計劃:
拔除門牙同時立即植入人工牙根,同時利用舊牙套轉換成臨時性假牙,半年後再裝上永久全瓷冠。
主治醫師:吳建德 醫師
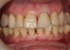
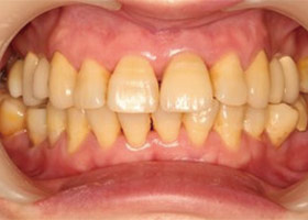
治療前全口X光片、口內正面照片。
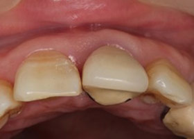
治療前門牙特寫、切端特寫照,發現假牙略微暴牙。
假牙拆除前的X光片,可看出假牙已不密合。
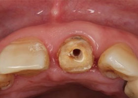
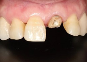
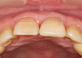
假牙拆除後,因續發性齲齒已深至牙肉下,且牙根明顯鬆動,遂無法保留牙根。
因美觀問題,採取拔牙後立即植牙。(此種治療方式須經醫師評估)
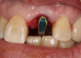
植牙後,立即利用舊牙套轉換成臨時性假牙。
植牙後,裝上臨時性假牙X光片。
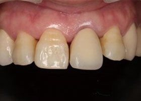
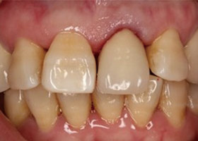
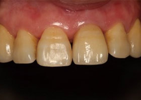
假牙完成後,門牙特寫、切端特寫照,暴牙已不復見。
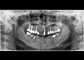
假牙完成X光片。


















