關閉
立即植牙及3D立體斷層掃描

病患:40歲 女性。

主訴:牙齒斷掉。

診斷:
  1. 右上側門牙牙根斷裂及搖晃。
  2. 左上正中門牙牙根斷裂。
治療計劃:
  1. 將前牙舊牙冠拆除。
  2. 拔除右上側門牙及左上正中門牙斷裂之牙根。
  3. 當天拔牙後,立即植入人工牙根。

主治醫師:戴志翰醫師


proimages/case/Laser/imed01.jpg

治療前,X光片及口內照片。

proimages/case/Laser/imed02.jpg

proimages/case/Laser/imed03.jpg

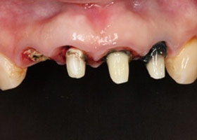
舊牙冠拆除後,
右上側門牙及左上正中門牙斷裂。

proimages/case/Laser/imed04.jpg

舊牙冠拆除後,術後X光片。
  


proimages/case/Laser/imed05.jpg

病患植牙前,拍攝3D立體斷層掃描。

proimages/case/Laser/imed06.jpg

當日立即模擬出最適宜的植牙位置。

proimages/case/Laser/imed07.jpg

當天拔牙,且立即植牙。

proimages/case/Laser/imed08.jpg

手術後,植體完美的植入預設的位置。

proimages/case/Laser/imed09.jpg

治療後,X光片。
   

proimages/case/Laser/imed10.jpg

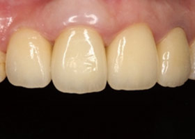
假牙完成後,植牙與自然牙,
真假難辨;病患恢復自信的笑容。 

關閉