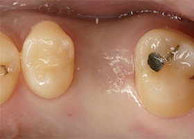
水雷射植牙技術,由字面上來解釋是水和雷射的結合,是利用特殊雷射波長使水分子激發成為具有高速動能的狀態,利用水分子作為組織切割之媒介的新科技。傳統治療中,鑽骨會產生熱或微裂的現象,而使得病患感到不適,但應用流體動力切割的新技術不易產生熱與震動微裂,讓整個治療過程疼痛大幅降低。

雷射微創植牙優點:
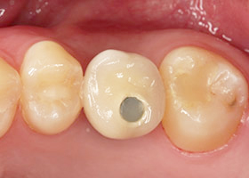
- 比傳統植牙縮減部分療程,且不需要翻開牙齦瓣膜就可鑽入植體。
- 雷射微創植牙是使用低能量牙科專用雷射,使用雷射可以大幅降低植牙時的疼痛及不適感,可減緩患者心理的恐懼感。
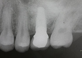
- 手術成功率非常高,但若植牙區的鄰牙患有牙周病或根管發炎,就得先徹底治療,因為如果有細菌感染,便會蔓延開來,容易導致植牙失敗。
傳統治療和水雷射比較
傳統:
傳統植牙方式是屬於”手術行為”,病患需接受局部麻醉,再以劃開牙肉、翻瓣、鑽孔的將植體植入牙齦內的齒槽骨中。 這樣的手術方式,療程時間較長,且傷口較大,所產生的疼痛、出血腫脹以及傷口復原的時間也相對較長。
水雷射:
水雷射治療可以縮短傷口癒合與手術過程時間,大幅度減少手術中所產生流血量與疼痛感,十分害怕手術疼痛而拒絕看診的患者來說,水雷射治療提供您安全低疼痛又可以免除恐懼的植牙方式。






