全口美白及超硬陶瓷牙冠
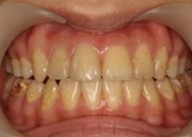
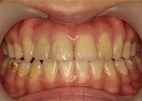
病患:18歲,女學生。
主訴:右上門牙、側門牙牙痛及蛀牙缺損不美觀。
診斷:
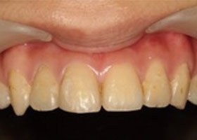
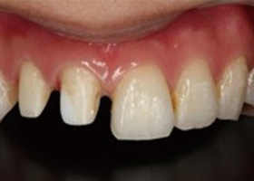
右上門牙、側門牙急性牙髓炎,蛀牙及牙齒太黃。
治療計劃:
- 右上門牙、側門牙根管治療。
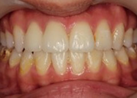
- 全口居家美白。
- 右上門牙、側門牙,製作超硬陶瓷柱心及全瓷牙冠。
主治醫師:張登信 醫師
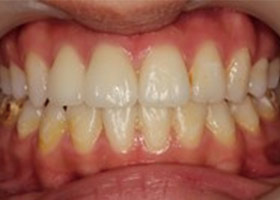
以18歲女學生來說,更顯青春朝氣,可以不害羞的自然笑。
美白後更顯差異,右下後牙為脫鈣,持續回診治療中。
在歐美各國都已經成為假牙首選的全瓷冠,由於顏色或透光度比傳統假牙要來得好,陶瓷跟人體相容度也高,十分受到國內外牙科專業醫師推薦,因此,全瓷冠假牙無論在顏色的呈現或是功能性,都是非常好的材質選擇。











