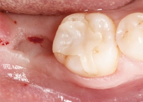
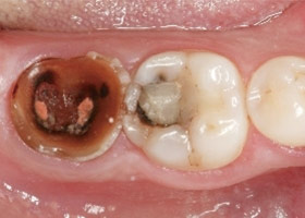
大範圍蛀牙之齒雕瓷塊病患 : 40歲 男性。主訴 : 先前的填補物邊緣蛀牙。診斷 : 大範圍的齲齒治療計劃 : 移除先前的填補物清除齲齒部位。製作齒雕。主治醫師: 蔣文政 醫師(1) 移除先前的填補物。(2) 清除齲齒部位。(3) 製作齒雕。 分享到