關閉
3D齒雕瓷塊

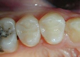
在中大型窩洞的治療上,建議以鑄造鑲嵌。覆嵌為主。

其中以陶瓷為主的填補材料,具又美觀。硬度高。生物相容性好等優點,已成為先進國家填補的主流。

@精密瓷材

瓷塊透光性高,顏色自然。美觀,邊緣密合度佳,表面光滑。

@材質生物相容性高,冷熱傳導性與硬度接近琺瑯質,不傷對咬牙,是目前最接近自然牙硬度的填補材質之一。

 
proimages/case/Beauty_Dentistry/201301231418081.jpg

大範圍蛀牙

proimages/case/Beauty_Dentistry/201301231418082.jpg

3D齒雕瓷塊恢復自然外觀

 
關閉