改善四環黴素牙造成色差問題
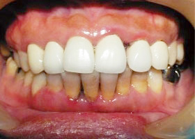
病患: 47歲,女性。
主訴:
- 上顎前牙為假牙套,牙縫過大,容易塞食物,且略微暴牙,導致講話有點漏風;假牙顏色過白,病患覺得不甚美觀。
- 上下顎顏色色差過大,困擾已久。
診斷:
上顎六顆前牙有牙周病,且假牙密合度不佳;下顎有明顯四環黴素染色,造成上下顎色差及美觀問題;且 確實有暴牙。
治療計劃:
施行全口牙周及矯正治療,矯正完成後,上顎前牙重新製作全瓷假牙,下顎採用全瓷貼片縮小色差;假牙完成後就可恢復牙周健康及美觀。
主治醫師:吳建德 醫師
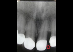
1. 術前口內正面照、局部X光片。
2. 上顎明顯暴牙、下顎參差不齊。
3. 矯正前,明顯可見暴牙。
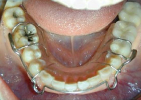
4. 使用活動式矯正裝置矯正中(矯正方式因人而異)。
5. 矯正後,上顎外暴及下顎參差不齊的情況大幅改善。
6. 將假牙拆除後,重新取模。
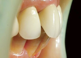
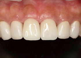
7. 全瓷假牙特寫。
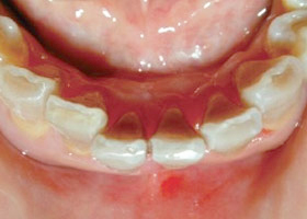
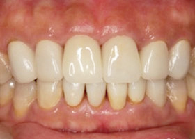
8. 術後口內特寫。















