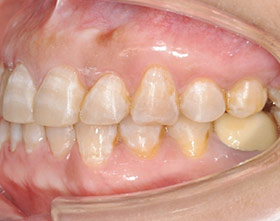
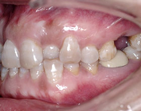
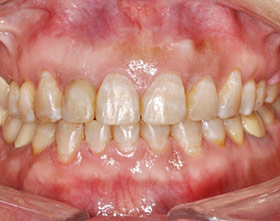
齒列擁擠病例患者: Y小姐主訴: 牙齒不整齊,側門牙凹陷診斷:齒列擁擠治療計畫:不拔牙矯正,上排牙弓擴大,關閉左上缺牙空間主治醫師: 陳式萱醫師矯正前-矯正後-[以上矯正前後照片由不同相機拍攝,故牙齒色澤稍有不同] 分享到