(02)8787-1787 線上預約
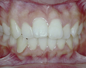
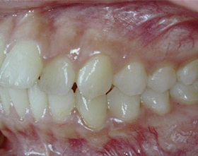
患者: Y小姐
主訴: 暴牙
雙顎前凸
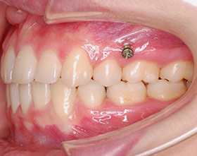
拔除四顆小臼齒 + 骨釘兩支
主治醫師: 陳式萱醫師
矯正前-
矯正後-
[以上矯正前後照片由不同相機拍攝,故牙齒色澤稍有不同]
春節連假休診公告2/14(六). 2/21(六)營業時間 09:00-12:00 /13:30-18:002/15(日)至2/20(五) 全日休診祝大家 馬年吉祥,幸福安康,好運龍總來~