
台北松山牙齒美容/美白療程
長島牙醫診所提供專業的台北松山牙齒美容療程,我們有優秀的台北松山牙齒美白團隊及高階的牙齒美白設備,專業為您進行高品質的牙齒美白療程,讓您快速重拾自信迷人的笑容。
牙齒是我們人的第二張臉,當牙齒不夠白皙、牙齦外露有黑垢時,都可能讓自己感到困擾,進而降低了自信心。讓長島台北松山牙齒美白團隊幫助您找回潔白的牙齒,由專業醫師為您評估合適的牙齒美白計畫,提供您完善的台北美白牙齒療程。
想變美麗的朋友們,歡迎洽詢台北長島牙醫診所,讓您輕鬆找回迷人笑容。
為什麼要做牙齒美白療程?
日常生活中可能食用了易染色的食物(如:咖哩、紅酒、咖啡、紅茶等)或是牙齒生病等因素,導致牙齒泛黃或變色。
若您想要讓牙齒美白成原來的樣子,您需要的是美白牙齒服務,我們有專業的牙醫師為您詳細確認口腔與牙齒狀況,提供您合適的牙齒美白療程,讓您的牙齒變得亮晶晶!
台北松山牙齒美白療程—牙齒冷光美白
牙齒冷光美白療程為近期受歡迎的牙齒美白治療之一,是利用波長400~500nm之藍光(其溫度改變不明顯,故稱之為冷光)將塗抹於牙齒表面濃度20%~38%之過氧化物美白藥劑催化,經由過氧化氫的氧化還原作用產生游離基,改變色素的碳環結構,使牙齒顏色變淡、變白。
這種牙齒美白術的操作過程僅需約30至40分鐘,由於採用低溫冷光,因此可避免操作過程中對牙神經的不適,且在親水性藥物和不接觸牙齦的治療過程中,對牙齒結構及琺琅質不易造成傷害,因此是相當安全的牙齒美白療程。
如果您的牙齒長期泛黃,或是牙齦與牙齒銜接處間有黑垢產生,歡迎找長島牙醫預約台北松山牙齒美白療程,我們的牙齒美白效果可為您提高8至12個VITA色階,且時間可以維持2至3年。讓長島牙醫師的專業診斷與技術,幫您找回亮麗白皙牙齒。
長島台北松山美白牙齒服務預約專線:(02)8787-1787。
為什麼要做牙齒美容療程(牙齦整形美容術)?
一個完美的微笑,以不露出牙齦與露出約0.1公分牙齦之間為佳,但由於遺傳、矯正與其他後天性因素,使得許多人在微笑時,容易暴露出大部份的牙齦,或是牙齦暴露不多,卻天生牙齦曲線不佳者,這些都是可以做牙齒美容(牙齦整形美容術)的族群。
若您對自己的牙齦感到不滿,都可以進行牙齒美容療程(牙齦整形美容術),幫助您快速重拾自信笑容。
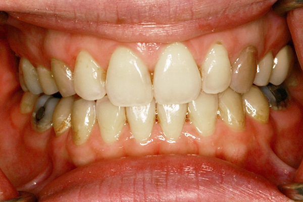
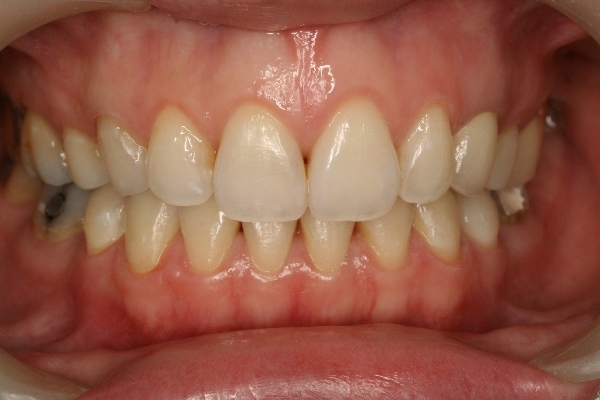
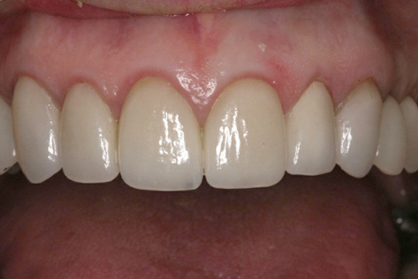
由下圖可以明顯看見患者於長島牙醫做完台北牙齒美容-牙齦雷射療程的前後對比,原本泛黃帶垢的牙齒不但變得亮白透光,且牙齦露出的比例也十分完美,讓您的微笑整體看起來更美觀自然,笑起來更加自信動人。
預約長島台北牙齒與牙齦美容療程請撥打:(02)8787-1787,我們將竭誠為您服務。








